当前位置: 网站首页 > 新闻动态 > 正文

新闻动态
新闻动态
二附院骨一科应用数字骨科个体化截骨导航同期置换双侧膝关节
来源:    日期:2016-06-09     浏览次数:
    第二附属医院骨一科王坤正教授团队应用新兴的数字骨科、计算机辅助技术及3D打印技术,打印出病人特有的个体化截骨导航模板,以此定制出病人个性化的手术工具,实施个体化,定制化及精准化手术取得成功。
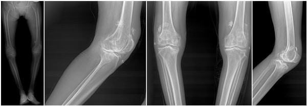
    65岁郭女士10年前开始双膝关节疼痛,病情反复,半年前双膝关节疼痛加重,持续性疼痛,休息后无缓解,行走约100m左右即感疼痛难忍,不能继续行走,患者十分痛苦,生活不能自理。近日以“双膝关节疼痛10年余,加重并活动受限半年”主诉来骨一科就诊入院。经入院查体:双膝关节屈曲内翻畸形,膝内侧压痛明显,髌骨摩擦试验阳性,浮髌试验阴性,双膝关节屈伸活动受限,左侧屈曲挛缩15°,内翻25°;右侧屈曲挛缩20°内翻30°。诊断为:双膝关节骨关节炎,拟行“双膝关节置换术”。
    6月5日,由王坤正教授主刀,在宋金辉、王伟副教授及杨佩副教授的配合下,顺利完成首例PSI(patient-specific instrumentation, 病人个体化截骨导航模板)引导下双侧膝关节同期置换的手术。手术顺利实施,术后病人病情稳定,术后24小时双侧膝关节出血引流量明显较常规手术减少,右侧显性引流20ml,左侧30ml。病人术后疼痛明显缓解。
    以往常规膝关节置换手术中应用的常规截骨工具,存在许多不足和缺陷,首先,其型号统一,没有考虑到病人的种族、性别及个体差异;其次,股骨截骨时需要开髓,可能引起膝关节置换术中致命性并发症(脂肪栓塞等)的发生;第三,截骨过程反复测量、确认截骨位置及厚度,相对延长手术时间。
    骨一科利用数字骨科技术即PSI辅助膝关节置换,可以克服以往缺陷,具有以下优点:1,可根据每个患者的种族、性别甚至个体差异应用3D打印技术打印出完全符合自己的关节形态的手术工具,即个体化截骨导航模板;2,术中股骨端截骨不用打开髓腔,可避免脂肪栓塞的发生,减少术中出血;3,简化截骨过程,术前经过计算机模拟手术,已经确定了截骨厚度及位置,缩短手术时间。
 
0

地址:陕西省西安市雁塔西路76号,邮编:710061

版权所有:西安交通大学医学部

访问量:

微信平台